Da infância à fase adulta, preventivo ou estético — atendimento completo, acolhedor e com orientação personalizada no Espaço Odontológico em Uberaba. Agende e descubra o tratamento ideal para você!
AGENDAR AVALIAÇÃOJá desistiu de marcar por medo ou insegurança
Seu filho tem medo de dentista e você quer evitar traumas
Sente que muitos dentistas não explicam direito e fazem tudo com pressa
Quer cuidar do sorriso, mas não sabe por onde começar
Aqui você encontra uma gama completa de serviços para atender toda a família, com foco em saúde, estética e prevenção:
Aqui, o atendimento infantil é feito com paciência, acolhimento e respeito ao tempo de cada criança para que ela crie uma relação leve e sem medo com o dentista.
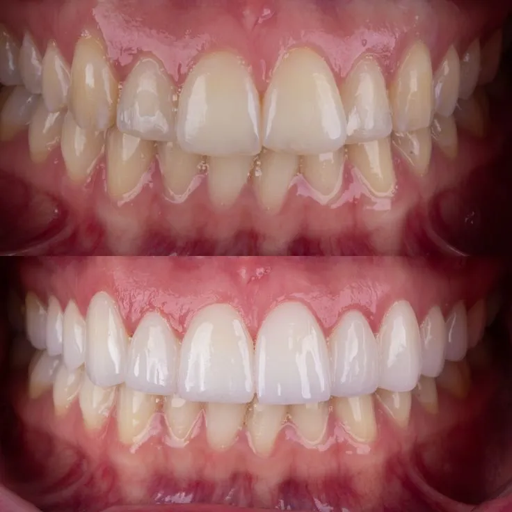
A limpeza remove placas e tártaro que prejudicam a saúde bucal, e o clareamento realça a estética do seu sorriso com segurança e naturalidade. Tudo feito com avaliação prévia e indicação personalizada.
Mais do que estética, a aplicação da toxina botulínica ajuda a suavizar linhas de expressão e tratar tensões musculares, como o bruxismo. Procedimento rápido, seguro e com resultados visíveis.
Consultas de rotina, diagnóstico e acompanhamento completo. Ideal para quem busca manter a saúde bucal em dia, identificar possíveis problemas e receber orientação clara sobre os próximos passos.
Devolva a função e a estética do seu sorriso com próteses planejadas de forma personalizada. Soluções seguras para quem quer voltar a falar, mastigar e sorrir com tranquilidade.
Remoção de dentes com todo cuidado, técnica e atenção ao seu conforto. O procedimento é feito com explicações claras, anestesia local e acompanhamento no pós-operatório.
Tratamento indicado para casos de gengivite e periodontite. Remove a placa bacteriana e o tártaro acumulado abaixo da gengiva, prevenindo a perda dos dentes e melhorando a saúde bucal de forma profunda.
Recuperação estética e funcional de dentes danificados por cáries ou fraturas. Direta: feita em consultório, no mesmo dia. Indireta: feita em laboratório, ideal para danos maiores. Ambas devolvem a integridade do seu sorriso com segurança e naturalidade.
Aparelho ortodôntico quase imperceptível, confortável e removível. Perfeito para quem quer alinhar os dentes com discrição, sem interferir na rotina ou na estética do sorriso durante o tratamento. Tecnologia moderna com acompanhamento profissional e resultados reais.
Faça sua pré-avaliação com a Sousmile aqui.
Cuidar da saúde bucal na gestação é essencial para o bem-estar da mãe e do bebê. O acompanhamento odontológico durante a gravidez ajuda a prevenir infecções, gengivite e outras complicações, com total segurança para o momento que você está vivendo.
Solução para quem sofre com apertamento ou ranger dos dentes, especialmente durante o sono. A placa protege os dentes, alivia dores na mandíbula e previne desgastes, fraturas e outros problemas articulares.
Para dor intensa, inchaço, trauma ou qualquer situação que não pode esperar. Atendimento rápido e cuidadoso para aliviar o desconforto e identificar a causa do problema.
Avaliação inicial personalizada, sem compromisso.
Atendimento especializado para adultos e crianças.
Procedimentos modernos, seguros e acessíveis.
Ambiente acolhedor e sofisticado.
Agendamento fácil e direto pelo WhatsApp.
✔ Confira se você tem o plano e aproveite esse benefício para agendar sua avaliação.
01
Agende sua avaliação pelo WhatsApp
Rápido, fácil e sem compromisso. Você escolhe o melhor horário com total flexibilidade.
02
Compareça à avaliação no consultório
Conduzo a consulta com escuta ativa, explicações claras e orientação sobre todas as possibilidades de tratamento.
03
Agende o tratamento quando estiver pronto(a)
Decida com tranquilidade o melhor momento para iniciar o tratamento com toda transparência e suporte.
Olá! Sou Dra. Ana Júlia Ayres, cirurgiã-dentista, Pós-graduanda em Odontopediatria e Ortopedia funcional dos Maxilares, apaixonada por cuidar de sorrisos e histórias. Atuo com dedicação em Clínico Geral, Odontopediatria e Odontologia Estética, sempre buscando unir técnica, carinho e tecnologia para oferecer o melhor a cada paciente.
Minha missão é tornar cada consulta leve e acolhedora, criando uma relação de confiança. Acredito que um sorriso saudável é construído com prevenção, informação e, acima de tudo, cuidado individualizado.
Atualmente, atendo em Uberaba MG, onde mantenho um espaço pensado para receber cada paciente com conforto e segurança.
Fora do consultório, sou apaixonada por aprender coisas novas, sempre buscando novos conhecimentos na minha área, compartilhar dicas de saúde bucal e estar perto de quem confia no meu trabalho.
Conte comigo para cuidar do seu sorriso!
Um espaço acolhedor pensado para que você e sua família se sintam à vontade desde o primeiro contato.
Ainda ficou com dúvidas? Não se preocupe!
Nos envie agora uma mensagem no Whatsapp, iremos responder o mais rápido possível e tirar suas dúvidas sobre os tratamentos odontológicos.
A primeira consulta é feita com foco em entender o que você precisa e orientar o melhor caminho pra cuidar do seu sorriso — sem compromisso.
O atendimento é adaptado ao ritmo da criança, com escuta, paciência e tranquilidade. O objetivo é criar uma experiência sem traumas. Temos um pequeno espaço recreativo para que os pequenos se sintam à vontade desde a chegada e associem a ida ao dentista a um momento calmo e positivo.
Sim! Oferecemos clareamento, toxina botulínica e alinhadores invisíveis, além dos tratamentos clínicos e preventivos.
A consultório fica em Uberaba-MG. Após o agendamento, você recebe a localização completa e as instruções por WhatsApp.
É só clicar no botão abaixo e chamar no WhatsApp. Vamos combinar o melhor dia e horário pra você.
É feito uma avaliação inicial e, durante o atendimento, você recebe todas as informações e o orçamento dos tratamentos com total transparência, para decidir com calma o que é melhor pra você.
Agende sua avaliação agora mesmo, estou pronta para proporcionar uma experiência odontológica excepcional e personalizada de acordo com suas necessidades individuais.